nytimesinternationalweekly

Esto hace el coronavirus al cuerpo humano

Las partículas de coronavirus tienen proteínas tipo púas que sobresalen de sus superficies, que se enganchan en las membranas celulares, permitiendo que el material genético del virus ingrese a la célula humana.

Pam Belluck - Publicado:

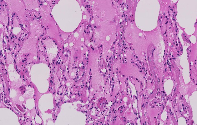
Alveolos pulmonares, llenos de líquido rosa y espeso. Foto / Shu-Yuan Xiao.

Al tiempo que proliferan las infecciones de coronavirus, aún hay mucha confusión sobre cómo afecta el virus al cuerpo.

Versión impresa

Los síntomas —fiebre, tos, dificultad para respirar— pueden ser señales de múltiples enfermedades. Esto es lo que los expertos médicos saben y lo que aún desconocen.

¿Cómo causa infección este coronavirus?

El virus se propaga a través de gotitas transmitidas en el aire vía estornudos o tos, que personas cercanas pueden absorber a través de la nariz, la boca o los ojos. Las partículas virales viajan a la parte posterior de las fosas nasales y a las membranas mucosas en la garganta.

VEA TAMBIÉN: Muralistas mexicanos hipnotizaron a un hemisferio

Las partículas de coronavirus tienen proteínas tipo púas que sobresalen de sus superficies, que se enganchan en las membranas celulares, permitiendo que el material genético del virus ingrese a la célula humana.

Ese material genético entonces “secuestra el metabolismo de la célula y le dice, ‘No hagas tu labor normal. Ahora tu trabajo es ayudarme a multiplicar y hacer el virus’”, dijo William Schaffner, especialista en enfermedades infecciosas en el Centro Médico de la Universidad Vanderbilt, en Tennessee.

¿Cómo causa eso problemas respiratorios?

Al multiplicarse las copias del virus, infectan las células vecinas. Los síntomas a menudo empiezan en la parte posterior de la garganta con tos seca y dolor de garganta.

El virus luego “avanza progresivamente hacia los bronquios”, explicó Schaffner. Cuando el virus llega a los pulmones, sus membranas mucosas se inflaman. Eso puede dañar los alveolos pulmonares, que tienen que trabajar más para suministrar oxígeno a la sangre y eliminar el dióxido de carbono de la sangre.

La inflamación y el flujo de oxígeno impedido pueden causar que esas áreas en los pulmones se llenen de fluido, pus y células muertas. Puede desarrollarse neumonía, una infección de los pulmones.

VEA TAMBIÉN: Impacto del virus presagia panorama sombrío para el petróleo

Algunas personas batallan tanto para respirar que deben ser conectadas a un ventilador. En los peores casos, conocidos como Síndrome de Dificultad Respiratoria Aguda, los pulmones se llenan de tanto fluido que no hay apoyo respiratorio que sea suficiente y el paciente muere.

¿Sólo los pulmones se ven afectados?

No necesariamente. Amy Compton-Phillips, directora del Sistema de Salud Providence, en el Estado de Washington, dijo que la infección puede propagarse a través de las membranas mucosas, desde la nariz hasta el recto.

Así que el virus también podría infectar células del sistema gastrointestinal. Es por ello que algunos pacientes tienen síntomas como diarrea. El virus también puede entrar al torrente sanguíneo, dijo Schaffner.

La médula ósea y órganos como el hígado también pueden inflamarse, dijo George Diaz, líder de la sección de enfermedades infecciosas del Centro Médico Regional Providence, en Everett, Washington. También puede haber inflamación en pequeños vasos sanguíneos, como sucedió con el brote viral de SARS en el 2002 y 2003.

“El virus aterrizará de hecho en órganos como el corazón, el riñón, el hígado y puede causar algo de daño directo a esos órganos”, dijo Schaffner. Al combatir el sistema inmunológico la infección, la inflamación resultante puede causar que esos órganos fallen, dijo.

¿Por qué algunas personas se enferman tanto y muchas no?

Alrededor del 80 por ciento de las personas infectadas tienen síntomas relativamente leves. Pero alrededor del 20 por ciento de las personas se enferman más seriamente y en alrededor del 2 por ciento de los pacientes en China, la enfermedad ha resultado mortal.

Los expertos afirman que los efectos parecen depender de qué tan fuerte está el sistema inmune de la persona. Las personas mayores o que tienen otros asuntos de salud, como diabetes u otras enfermedades crónicas, tienen más probabilidades de desarrollar síntomas severos.

VEA TAMBIÉN: Dedica su vida a estudiar gen que la matará

Los expertos dicen que cuando pacientes así se recuperan, con frecuencia son los líquidos, apoyo respiratorio y otros tratamientos lo que les permite resistir los peores efectos de la inflamación.

¿Qué no saben aún los científicos sobre los pacientes?

Mucho. Aún no se comprende completamente qué curso tomará el coronavirus de un paciente.

Algunos pacientes pueden permanecer estables durante más de una semana y de pronto desarrollar neumonía.

Shu-Yuan Xiao, profesor de patología en la Escuela de Medicina de la Universidad de Chicago, dijo que algunos pacientes en China se recuperaron, pero volvieron a enfermarse, aparentemente porque tenían tejido pulmonar dañado que posteriormente fue atacado por bacterias de su propio cuerpo. Algunos de esos pacientes terminaron por morir de una infección bacterial.

Otros casos han sido misterios trágicos. Los pacientes parecen mejorar y luego repentinamente mueren, dijo Xiao.

Etiquetas
Más Noticias

Judicial ‘A solo días de dejar la presidencia de la Corte, María Eugenia López genera más dudas que transparencia en su gestión’

Sociedad Ampliación de Vía España resucita

Sociedad Unas 20 obras dejaron a la deriva gestiones pasadas

Política Mulino y Lula Da Silva revisan futura adhesión de Brasil al Tratado de Neutralidad del Canal de Panamá

Judicial Moore, la fiscal despedida que fracasó en su intento de ser magistrada y cuyos errores costaron $50 mil al Estado

Sociedad Hay 5,103 trabajadores eventuales menos en la planilla del Estado

Sociedad Paneles solares de la Oficina de Electrificación Rural ayudarán a reducir facturas a humildes familias

Deportes Panameños avanzan a la final con Marathón en Honduras; Iván 'Colocho' Anderson se lesiona

Sociedad Ejecutan a tiros a padre e hijo mientras regresaban a su casa; ocurrió en Mano de Piedra

Economía Segundo informe generará resultados de verificación a la operación minera

Economía Penetración de pagos digitales abarca a casi toda la población

Provincias Moradores Santa Rosa, Capira esperan la pronta llegada de la luz eléctrica

Sociedad Mitradel: Suntracs no ha sido disuelto porque Saúl Méndez sigue figurando como secretario general

Sociedad Mulino en la Cumbre de Mercosur aboga por inversión, integración y democracia en la región

Política González Urrutia agradece a Mulino por tener a Venezuela 'como una causa siempre presente'

Mundo Brasil pasa la presidencia del Mercosur a Paraguay

Sociedad Panamá registra 25 muertes por dengue y más de 15 mil casos de la enfermedad

Sociedad Jornadas: Mitradel ha realizado 34 operativos contra el trabajo infantil en diciembre

Sociedad Bancada de RM condena confuso hecho con diputado en Pacora

Deportes Barcelona se impone al Villarreal con los goles de Raphinha y Lamine Yamal

Sociedad Panamá debe asegurar el acceso universal a la prevención de la infección por Virus Sincitial Respiratorio

Economía Cciap: educación y empleo deben avanzar juntos para un desarrollo sostenible

Provincias Siete náufragos varados en la Costa Arriba de Colón viven para contarlo

Provincias Empleo: 700 plazas de trabajo con nueva planta de pelado de camarones en puerto de Vacamonte

Sociedad La invasión de Estados Unidos que marcó a Panamá

Economía Grupo Cibest vende Banistmo en Panamá a Inversiones Cuscatlán

Variedades Jacky Guzmán no tiene una relación con Chris LeBron ¡Todo fue 'marketing'!

Suscríbete a nuestra página en Facebook